
Update :
2025-02-04
关于癌研有明医院癌症筛查中心 本癌症筛查中心发现的癌症 致在本癌症筛查中心接受体检的人士
关于癌研有明®医院癌症筛查中心(体检中心)
癌研有明医院癌症筛查中心的使命,是通过对癌症的早期发现与预防,保护体检者受癌症侵袭。
癌症如果能够早期发现,绝大部分都可以治疗痊愈。请在尚未有自觉症状时积极进行检查。
本癌症筛查中心的特色
本中心由癌症专业医师进行精密检查,并提供细致亲密的护理。
我们诚心向您推荐癌研有明医院的癌症筛查中心的综合体检套餐。
- 经验丰富,拥有牢靠医术的癌症专业医师为您诊断。
- 当需要精密检查或治疗时,根据病情可立即在癌研有明医院就诊。
- 根据体检结果,可通过体检中心预约医院的诊疗。
- 通过电子病例,可以与医院信息共享,进行更快,更有效的诊察。
- 基于医院的理念,我们正在开发预测癌症的人工智能。
- 基于医院的理念,我们正在开发支持乳房钼靶摄影诊断的人工智能。
本筛查中心的特点
特点1:上消化道内窥镜检查
- 上消化道检查全部使用内窥镜进行检查
- 所有内窥镜,携带可扩大80倍的功能和NBI(Narrow Band Imaging=窄带成像术)功能,有助于取病理组织时,准确地取在疑似病变的部位。
- 观察范围:下咽部、食道、胃、十二指肠




特点2:下消化道内窥镜检查
- 下消化道检查全部使用内窥镜进行检查
- 所有内窥镜,携带可扩大80倍的功能和NBI(Narrow Band Imaging=窄带成像术)功能,有助于取病理组织时,准确地取在疑似病变的部位。
- 观察范围:直肠、乙状结肠、结肠、盲肠
- 如果发现息肉,大小等符合切除条件下,可直接在体检中心切除,无需再次就诊医院接受切除。
- 内窥镜检查切除息肉,可以将死亡病例减少53%※
(参考:Colonoscopic polypectomy and long-term prevention of colorectal-cancer deaths.
N Engl J Med 366:687-696, 2012)
普通内窥镜影像
难以找出癌症病变处
难以进行癌症范围的诊断
我院体检中心内窥镜影像
扩大80倍并使用NBI功能
使癌症范围的诊断更加明确
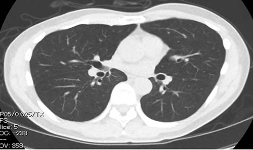
特点3:肺癌体检
- 我院体检中心调整摄影条件,导入低辐射的CT,可令体检者承受一般X光相当的辐射量即可接受CT检查。
我院体检中心努力提供亲和的体检服务。

1.54mSv

0.40mSv
特点4:乳腺检查
- 乳腺检查除了超声波检查,并用钼靶,用两种检查进行。
※35岁未满女士,通常因乳腺发达期,钼靶检查对早期癌症的筛查并不有效。因此未满35岁,仅使用超声波进行乳腺检查
特点5:妇科癌检查
妇科检查包含宫颈和子宫内膜(宫体)细胞学检查,宫颈HPV(人乳头瘤病毒)检查,阴道超声波(子宫/卵巢等付件)。
- 除了宫颈部的细胞学检查,并用宫颈内膜(宫体)的细胞学检查,
可使宫体癌的发现率上升到97%
特点6:胰腺癌、胆嚢癌、胆管癌体检
特别是胰腺癌,早期时验血指标常常在正常范围。
仅依靠超声波检查,根据体型等影响有时会显示困难,因此,早期发现更加困难。
体检者可追加腹部CT或MRCP检查,提高诊断率。
※MRCP检查,需要首先在我院体检中心体检,根据体检结果和家族疾病史,在医生的建议下方可接受。


今后的展望
目前我院体检中心正在努力进行内窥镜AI技术的研究,计划未来在体检中心得到实施。
致在本癌症筛查中心接受体检的人士
无论您是否有症状,请在医院和癌症筛查中心始终佩戴无纺布口罩。