目次
泌尿器腫瘍の診断と臨床病理学的研究
メンバー:菅原、三宅、稲村
病理部泌尿器グループでは泌尿器腫瘍に関する専門的な診断、研究を行っています。腎がん、膀胱がん、前立腺がん、精巣がんなどが代表的な対象疾患で、尿路・生殖器・副腎・後腹膜などから生じる多様な腫瘍を担当しています。カンファレンスやディスカッションを積極的に行うことで泌尿器科と緊密に連携し、正確で的確な病理診断をもとにしたより良い医療への貢献を目指しています。
検体数
| 受付年 | 2020 | 2021 | 2022 | 2023 | 2024 |
|---|---|---|---|---|---|
| 泌尿器科検体数 | 1317 | 1373 | 1466 | 1434 | 1410 |
診断について
腎がんは淡明細胞型腎細胞癌、乳頭状腎細胞癌、嫌色素性腎細胞癌などが代表的な組織型ですが、近年は疾患分類が細分化され、多くの希少ながんも知られるようになっています。診断には免疫組織化学的検索のほか、FISH、PCR、シークエンスなどの分子病理学的検索手法も必要に応じて導入しています。
膀胱がんはまず経尿道的腫瘍切除(TUR)標本として病理に提出されることが多いですが、TUR標本での正確な診断がその後の適切な治療に結びつきます。膀胱全摘標本では膀胱粘膜全体を詳しく検査し、がんの進行度や広がりを診断しています。
前立腺がんは近年増加傾向の目立つがんです。前立腺生検標本は年間約450例提出され、年間200例近くに及ぶ前立腺摘除標本では検体全てを病理標本化して細かく検索し、正確な診断に努めています。
研究について
診断や疾患分類、予後予測に有用な病理学的指標の解明を目指し、日常の診断で得られた知見をもとに研究や症例報告を積極的に行っています。特に腎がんについては、臨床的・病理形態学的情報などを泌尿器科と協力してデータベース化し、腎がんの予後予測指標に関する解析などに役立てています。さらに、当研究所で独自に開発されたFISHプローブやPCR、次世代シークエンサーなどを駆使することで、腎がんのゲノム異常や遺伝子発現を検索し、希少な腎がんの診断とその臨床病理学的特徴について詳細な検討を行っています。
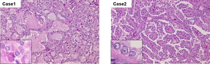
図:当院から報告した希少がんの1種であるALK再構成性腎細胞癌の2症例
Publication list
- Kitahama K, Shigematsu Y, Amori G, Sugawara E, Yonese J, Shibahara J, Takeuchi K, Inamura K. RAS Family Gene Mutations, Clinicopathological Features, and Spread Patterns of Inverted Urothelial Papilloma of the Bladder. Am J Surg Pathol. 2024 Apr 1;48(4):458-464.
- Sugawara E, Shigematsu Y, Amori G, Sugita K, Yonese J, Takeuchi K, Inamura K. CDX2- and PAX8-Expressing Subtypes in Female Urethral Adenocarcinoma: Pathogenesis Insights through Immunohistochemical and Morphological Analyses. Diagnostics (Basel). 2023 Jul 19;13(14):2408.
- Sugawara E, Koyama K, Inamura K. Molecular Characterization of Upper Tract Urothelial Carcinoma for Precision Therapeutics and Non-invasive Diagnostics. Curr Genomics. 2022 Apr 7;23(1):2-4.
- Amori G, Sugawara E, Shigematsu Y, Akiya M, Kunieda J, Yuasa T, Yamamoto S, Yonese J, Takeuchi K, Inamura K. Tumor B7-H3 expression in diagnostic biopsy specimens and survival in patients with metastatic prostate cancer. Prostate Cancer Prostatic Dis. 2021 Sep;24(3):767-774.
- Argani K, Inamura K, Williamson SR. (2022). ALK-rearranged renal cell carcinomas. In WHO Classification of Tumours. Urinary and Male Genital Tumours, 5th ed.; The WHO Classification of Tumours Editorial Board, Ed.; IARC Press: Lyon, France, 2022; pp. 82-83.
- 菅原江美子. 乳頭状腎細胞癌. 大江知里、長嶋洋治編:腫瘍病理鑑別診断アトラス 腎癌 第2版、文光堂、2023、Page36-42.
- 稲村健太郎. ALK再構成性腎細胞癌. 大江知里、長嶋洋治編:腫瘍病理鑑別診断アトラス 腎癌 第2版、文光堂、2023、Page107-110.










