骨転移
骨移転についての知識
骨転移はどのように生じるのか
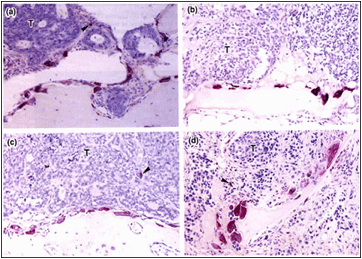
骨は非常に硬い組織です。がん細胞はその骨の組織を破壊するために正常骨に存在する破骨細胞の力を借りています。我々のグループでも、骨転移の切除標本を用いて破骨細胞の観察を行い、がん細胞と正常の骨の間に破骨細胞(赤く染まった大きな細胞)が数多くあることが分かりました。

以前から、パラサイロイドホルモン関連タンパク(PTHrP)の骨転移への関与が示唆されていましたが、現在ではもう少し詳しく判明しています(下図)。骨転移したがん細胞は、PTHrPを出します。このPTHrPに刺激され骨芽細胞にRANKLという物質が発現します。次に、前破骨細胞にあるRANKにRANKLが結合することにより、前破骨細胞から破骨細胞に分化が促進し、破骨細胞の数が増します。破骨細胞は骨を溶かすだけでなく、骨の中に豊富な TGF-βやIGFなどの成長因子が骨から溶け出してがん細胞を増殖活性化します。この様な悪性のサイクルが骨転移巣で生じていると考えられています。最近では、より多くのサイトカイン等によるこの悪性サイクルへの関与が報告されています。

骨転移の診断の意義
骨転移は、以前はあまり有効な治療方法がありませんでしたので、あまり注目されていませんでした。米国の学会(ASCO)では、乳がんにおいて骨転移を見つけるための検査を、スクリーニングに用いることは推奨できないとの見解が1997年に出されています。しかし、その後前述の骨転移に対する治療法の進歩や抗がん剤やホルモン剤の進歩により転移症例でも長い予後が期待できるようになった昨今では、骨転移に対しても「早期診断、早期治療」によりQOL(生活の質)を保つことが重要と考えています。我々の施設でも、乳がんの骨転移患者さんで、骨転移の転移個数の少ない患者さんの方が、多い患者さんよりも、予後が良好であることを確認しています。

また、スクリーニングの骨シンチグラフィで、痛みのない時点で骨転移が見つかった場合(我々の成績では、半数以上の乳がん骨転移の方に痛みがない時点で診断されます)、痛みが出てから骨転移と診断された方より、骨転移による合併症が少なく、また、生命予後も改善されます。少なくとも乳がん手術後に早期に骨転移を診断することには臨床的意義があると考えています。
骨転移の診断:骨シンチグラフィ
従来、骨シンチグラフィは、感度は高い(異常の検出はよく出来る)が、特異度があまり高くない(異常がどのような原因で生じているのか分からない)検査と言われています。我々の施設では、パターン認識の要素を診断時に加味することにより成績が向上しています。その一端を紹介します。骨への転移と良性の変化を鑑別するポイントは、下記などです。
また、最近は、骨シンチのコンピューターソフトを利用した自動診断法の研究も行っています。
なお、骨転移は、溶骨を主体としたもの、造骨を主体としたもの、その混合型という分類の他にも、臨床上見つけにくい形の骨転移;骨変化のない 骨梁間型(骨髄転移)がありますが、FDG-PETで良く発見されるようになりました。 この形の骨転移は、MRIもしくはFDG−PETでは見えますが、CTや骨シンチでは検出できません。
乳がんの骨転移では、溶骨の要素が多く、診断法は、従来用いられてきた骨シンチグラフィからFDG-PET/CTへと徐々に変化しています。我々は、この骨移転移診断法の変化に対応する方法の研究を行なっています。
骨シンチグラフィの読影法
- 骨転移は骨髄で増殖するため骨の長軸に沿った形で拡がりやすい。一方、外傷は骨の長軸に垂直に現れやすい。

- 骨転移は骨の中に生じる。変性は関節面に生じる。


- 骨転移は病変の中央部が腫瘍に置き換わっていることが多いために中央部が欠損になり周囲に集積増加を認めることが多く、ドーナッツ型になります。他の原因によるものは、中央部の集積が高いことが多くあります。但し、前立腺がんによる骨転移など造骨型の骨転移は例外です。

- 骨転移は、左右非対称であることが多い。

- 骨転移の分布は、赤色骨髄の分布もしくはバトソン静脈叢の分布と一致することが多い。すなわち、体幹部および四肢の近位部に多い。

- 多発性であることが多い。
詳細については、小泉 満 著「全身骨転移を探る-骨シンチグラフィ-」 にまとめています。
骨転移に対する治療法
骨転移の治療法は、近年劇的に変化を遂げています。骨転移増悪の機序を上に挙げましたが、このサイクルに対する標的治療が挙げられます。まず、第一に挙げられるものはRANKLとRANKの結合を阻害するRANKL抗体(デノスマブ)が第一選択薬として用いられています。以前には破骨細胞に選択的にアポトーシスを生じることによる治療法としてビスフォスフォネート(BP)が使用されていました。BPを投与することにより、骨転移による合併症が明らかに減少することが大規模臨床試験により確認されています。
また、少し機序は異なりますが骨転移巣への局所放射線療法があります。骨シンチグラフィは、BPにガンマ線を出す核種を標識したものですが、骨シンチグラフィの画像を見ると骨転移の部分に非常に大量のBPが集積している場合があります。ガンマ線をベータ線に替えることにより、悪い所だけに対する放射線療法が出来ます。ストロンチウム-89を骨転移患者さん(この場合、骨シンチグラフィで転移の部分にたくさんの放射能があることを確認した後)に投与することで、骨転移に対する特異的な治療が可能です。さらに、骨転移の治療にα線核種も使用されるようになってきました。当施設でも、去勢抵抗性前立腺癌骨転移の患者さんにα線核種であるRa-223が治療法として用いられています。
骨転移関連文献 (当施設実績)
- Koizumi M, Yamada Y, Takiguchi T, Nomura E, Furukawa M, Kitahara T, Yamashita T, Maeda H, Takahashi S, Aiba K, Ogata E: Bone metabolic markers in bone metastases. J. Cancer Res. and Clin. Oncol. 121: 542-548, 1995.
- Koizumi M, Ogata E: The bisphosphonate effect on bone scintigraphy. J. Nucl. Med. 37: 401, 1996.
- Koizumi M, Sekine H, Aoki M, Hayashi S, Yamashita T, Oyamada H, Ogata E: Efficacy of YM-175, a new bisphosphonate, in the treatment of metastatic bone tumor from breast cancer and its effect on scintigraphy.Int. J. Clin. Oncol. 1: 18-22, 1996.
- Koizumi M, Aruga A, Yamada K : Primary lymphoma of the breast detected by gallium-67 scintigraphy. Clin. Nucl. Med. 21: 873-876, 1996.
- Maeda H, Koizumi M, Yoshimura K, Yamauchi T, Kawai T, Ogata E: Correlation between bone metabolic markers and bone scan in prostatic cancer. J. Urol. 157: 539-543, 1997.
- Koizumi M, Maeda H, Yoshimura K, Yamauchi T, Kawai T, Ogata E : Dissociation of bone formation markers in bone metastasis of prostate cancer. Br. J. Cancer 75: 1601-1604, 1997.
- Aruga A,Koizumi M,Hotta R, Takahashi S,Ogata E:Usefulness of bone metabolic markers in the diagnosis and follow up of bone metastasis from lung cancer.Br. J. Cancer 76: 760-764, 1997.
- Hiraga T, Tanaka S, Ikegami M, Koizumi M, Iguchi H, Nakajima T, Ozawa H: Morphology of bone metastasis. European J Cancer 34:230-239, 1998.
- Koizumi M, Matsumoto S: Distinctive patterns of super-scan in bone metastasis and hyperthyroidism. Clin. Nucl. Med. 23:391-392, 1998.
- Koizumi M: Usefulness of bone metabolic markers in the diagnosis and follow up of bone metastasis from lung cancer. Bone Depeche 4: 23-24, 1998.
- Koizumi M, Ogata E: Bone metabolic markers in metastatic bone tumor. Cancer J 11:137-140, 1998.
- Koizumi M, Matsumoto S, Takahashi S, T Yamashita, Ogata E: Bone metabolic markers are useful in the diagnosis of bone scan flare phenomenon in bone metastases from breast cancers. Clin. Nucl. Med. 24:15-20, 1999.
- Koizumi M, Takahashi S, Ogata E: Bone metabolic marker in bone metastasis of breast cancer. Int. J Clin Oncol 4:331-337, 1999.
- Koizumi M, Kobayashi M, Furukawa M, Yamashita T, Ogata E: The Bisphosphonate Incadronate for Bone Metastases of Breast Cancer. Int. J Clin Oncol5:241-246, 2000.
- Koizumi M, Suzuki T, Takahashi S, Ogata E: A transient splenic accumulation of Tc-99m HMDP caused by megaloblastic anemia. Clin. Nucl. Med. 25:1024-1027, 2000.
- Takahashi S, Yoshida N, Koizumi M, Horikoshi N, Ogata E: Biochemical markers of bone metabolism predicts prognosis in patients with bone metastasis of breast cancer. Breast Cancer Res Treat 64:97, 2000.
- Koizumi M, Yonese J, Fukui I, Ogata E: Serum PINP level is a sensitive marker of prostate cancer metastasis to bone. BJU International 87:348-351, 2001.
- Koizumi M, Yoshimoto M, Kasumi F, Ogata E. What breast cancer patients benefit from staging bone scintigraphy? Jpn J Clin Oncol 31: 263-269, 2001.
- Koizumi M, Takahashi S, Ogata E: Bone metabolic markers and metastatic bone tumors. Res. Adv. in Cancer 1:33-46, 2001.Book chapter
- Koizumi M, Yonese J, Fukui I, Ogata E: Metabolic gaps in bone formation might be a novel marker to monitor the osseous metastasis of prostate cancer. J. Urol. 167:1863-1866, 2002.Selected for This Month in Investigative Urology.
- Kosuda S, Yoshimura I, Aizawa T, Koizumi K, Akakura K, Kuyama J, Ichihara K, Yonese J, Koizumi M, Nakashima J, Fujii H: Can prostate specific antigen actually eliminate bone scan in newly diagnosed prostate cancer patients? - Multicenter trial in Japan. Cancer, 94:964-972, 2002.
- Koizumi M, Ogata W: Bone Metabolic Markers as Gauges of Metastasis to Bone: A Review . Ann Nucl Med 16:161-168, 2002.
- Koizumi M, Takahashi S, Ogata E: Bone Metabolic Markers and Bisphosphonate Therapy for Skeletal Metastases in Patients with Breast Cancer. Breast Cancer 10:21-27, 2003.
- Koizumi M, Yoshimoto M, Kasumi F, and Ogata E: Differences between Solitary and Multiple Bone Metastases of Breast Cancer. Ann Oncol 14:1234-1240, 2003.
- Koizumi M, Takahashi S, Ogata E: Comparison of Serum Bone Resorption Markers in the diagnosis of Skeletal Metastasis. Anticancer Res 23: 4095-4100, 2003
- Leeming DJ, Koizumi M, Byrjalsen I, Li B, Qvist P, Tanko LB:The relative utility of eight collagenous and non-collagenous markers for diagnosis of skeletal metastases in breast, prostate, or lung cancer patients.Cancer Epidemiology, Biomarkers & Prevention. 15:32-38, 2006.
- Leeming DJ, Delling G, Koizumi M, Henriksen K, Karsdal MA, Li B, Qvist P, Tanko LB, Byrjalsen I: Alpha CTX as a biomarker of skeletal invasion of breast cancer: Immunolocalization and the load dependency of urinary excretion. Cancer Epidemiology, Biomarkers & Prevention. 15:1392-1395, 2006.
- Koyama M, Koizumi M: Two cases of diffuse osteoblastic metastasis from early gastric cancer. Clin Nucl Med. 32:545-547, 2007.
- Leeming DJ, Byrjalsen I, Qvist P, Koizumi M, Lynnerup N, Fregerslev M, Sørensen MG, Pedersen C , Christiansen C, Karsdal MK: Does Increased Local Bone Resorption Secondary to Breast and Prostate Cancer Result in Increased Cartilage Degradation? BMC cancer. 8 article No 180, 2008
- Koizumi M, Yoshimoto M, Kasumi F, Iwase T: An open cohort study of bone metastasis incidence following surgery in breast cancer patients. BMC cancer 10 article No 381, 2010
- Koizumi M, Yoshimoto M, Kasumi F, Iwase T, Ogata E: Post-operative breast cancer patients diagnosed with skeletal metastasis without bone pain had fewer skeletal-related events and deaths than those with bone pain. BMC cancer 10 article No 423, 2010
- D.J. Leeming, M. Koizumi, P. Qvist, V. Barkholt, C. Zhang, K. Henriksen, I. Byrjalsen and M.A. Karsdal: Serum N-Terminal Propeptide of Collagen Type I is Associated with the Number of Bone Metastases in Breast and Prostate Cancer and Correlates to Other Bone Related Markers. Biomarkers in cancer 2: 1-9, 2010
- Koizumi M, Wagatsuma K, Miyaji N, Murata T, Miwa K, Takiguchi T, Makino T, Koyama M: Evaluation of a computer-assisted diagnosis system, BONENAVI version 2, for bone scintigraphy in cancer patients in a routine clinical setting. Ann Nucl Med 29:138-148, 2015.
- Koizumi M, Koyama M, Terauchi T, Motegi K, Fukai S, Umeda T, Miyaji N, Makino T: Reappraisal of bone scintigraphy and computed tomography data in patients with metastatic prostate cancer: initial appearance of boen metastasis between the staging and follow-up periods. Remedy Open Access 1, article 1003, 2016.
- Koizumi M, Miyaji N, Murata T, Motegi K, Miwa K, Koyama M, Terauchi T, Wagatsuma K, Kawakami K, Richter J: Evaluation of a revised version of computer-assisted diagnosis system, BONENAVI version 2.1.7, for bone scintigraphy in cancer patients. ANM 29; 659-665, 2015
- Koizumi M, Gokita T, Toda K: Impending atypical femoral fracture in medullary thyroid cancer patients with skeletal metastasis treated with long-term bisphosphonate and denosumab. Clin Nucl Med. 42, 463-464, 2017.
- Sugihara T, Koizumi M, Koyama M, Terauchi T, Gomi N Ito Y, Hatake K, Sata N: Bone Metastases from Breast Cancer: Associations between Morphologic CT Patterns and Glycolytic Activity on PET and Bone Scintigraphy as well as Explorative Search for Influential Factors. Ann Nucl Med 31,719-725, 2017.
- Umeda T, Koizumi M, Fukai F, Miyaji N, Motegi K, Nakazawa S, Takiguchi T.
Evaluation of bone metastatic burden by bone SPECT/CT in metastatic prostate cancer patients: Defining threshold value for total bone uptake and assessment in radium-223 treated patients. Annals of Nuclear Medicine 32, 105-113, 2018. - Sugihara T, Koizumi M, Hayakawa K, Ito Y, Sata N. Impending Atypical Femoral
Fracture in a Patient of Breast Cancer with Bone Metastases Receiving Long-Term
Denosumab. Clinical Nuclear Medicine, 43, 365-366, 2018..
「全身骨転移を探る-骨シンチグラフィ-」 遠藤啓吾 編、小泉 満 著
メデイカルチャー 2000. 3




